義歯(入れ歯)

当院では1本分の入れ歯から総入れ歯まで、幅広く対応致します。ぴったり合わない入れ歯はうまく噛めないだけでなく、その下の骨が溶けるスピードも速いため、どんどん力の負担能力が減っていってしまいます。

しっかりよく噛めるようになると、体が健康で若々しくなり、生活の質(QOL:Quality of Life)が改善することでしょう。
入れ歯でお悩みの方はどうぞご相談下さい。

金属床義歯

薄くてしっかり噛める ~保険義歯との違い~

貴金属で裏打ちされた精密な入れ歯は2回の型採りを経て製作します。均等な力をかけることができるため、保険の義歯に比べてとてもよく噛むことができ、骨の溶けるスピードも遅くすることができるため長持ちします。

また厚みを薄くできるため、舌の邪魔になりません。さらに、金属なので温度を伝えやすく、熱いものは熱く、冷たいものは冷たく感じながら食べることができます。

どちらも左半分が金属床義歯、右半分が保険義歯

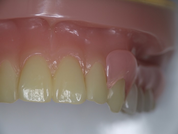
スマイルデンチャー

きれい!噛める!ノンクラスプデンチャー

残存している歯にかけるバネの金属が気になる方には、スマイルデンチャーをおすすめします。

弾力性を持った、歯ぐきと同じ色のピンクの素材でつくるため、とても審美性に優れています。隙間が少なく、食べ物が挟まりにくい構造です。

非常に多くの方に満足いただいている入れ歯です。保険の入れ歯にご不満のある方はぜひお試しください。

スマイルデンチャー正面及び側面

金属バネ正面及び側面

インプラント義歯

今の入れ歯でもっと噛める!インプラントオーバーデンチャー

あごの骨にインプラントを埋入することで、入れ歯にかかる力を主にインプラントのところで負担させる方法です。
インプラントにかかった力は、それを囲む骨全体で受けるため、それまでにお使いの入れ歯よりもしっかり噛むことができます。またその分、粘膜や骨への負担が減るため、歯ぐきや骨が痩せるのを防ぎます。
入れ歯を上にのせるだけのタイプや、入れ歯に磁石を埋め込んでピタっとくっつけるタイプもあります。
あとでその上に歯を作って、直接噛めるようにすることもできます。

インプラントについて詳しく知りたい方は→